近日,附属上海市第五人民医院上演了一场与“死神”博弈的生死战。一名急性心肌梗死患者突发心室颤动(简称室颤),医护人员在近4小时里经过60次电击除颤、反复实施胸外心脏按压20余轮次、分秒必争行急诊心脏支架手术,终于将病患从“鬼门关”拉了回来。
57岁的黄先生因清晨突发持续性心前区绞痛1小时来院就诊,被紧急送入急诊抢救室。入院时患者感到胸骨中下段疼痛剧烈,结合心电图等检查结果,考虑为急性心肌缺血引起的急性冠脉综合症,急救创伤中心主任唐建国指示接诊医生立刻给予抗血小板治疗、扩冠治疗,要求严密观察病情。
心内科值班邸若岷医生接到电话后立刻赶到急诊科会诊。上午8点会诊期间,黄先生突发意识丧失、血压无法测出、心电监护显示室颤,生死攸关。急救创伤中心副主任诸卫英、心内科、急诊抢救室等医护人员迅速组成抢救团队,立即给予胸外心脏按压、气管插管接呼吸机辅助呼吸、静脉推注抢救药物,同时反复给予电除颤10余次。持续胸外按压抢救10余分钟后,黄先生恢复自主心律,继续给予抗休克、纠正酸碱失衡、脑复苏治疗,20分钟后其意识逐渐恢复。
患者病情凶险万分,随时可能出现生命危险,心内科徐迎佳主任闻讯赶到现场坐镇抢救,根据患者临床表现及心电图明确诊断:急性心肌梗死,考虑冠脉前降支闭塞,必须行急诊冠脉介入治疗。

15分钟后,黄先生又一次发生室颤、意识丧失,再次除颤复律抢救成功,但患者病情无法稳定,每次除颤复律后自主心律维持时间仅10多分钟。时间一分一秒地过去,医生已间断进行50余次电除颤,近20次反复实施胸外心脏按压抢救,一次又一次将其从死亡边缘救回。紧张的抢救持续进行着,医护人员承受着极大的心理压力和高强度的体力耗费。
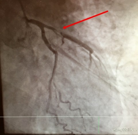
中午12时,持续抢救四小时,患者室颤发作次数有所减少,机不可失,抓住短暂平稳间期立刻手术开通血管,是患者生存唯一可能。徐迎佳主任亲自护送,立刻携带呼吸机、除颤仪、监护仪等设备将黄先生安全迅速转运至放射科介入导管室,风驰电掣展开心脏冠脉造影手术。术中,黄先生再次室颤,又一次抢救除颤复律成功。徐迎佳主任与张高峰主任医师、乔琪主治医师等抓住稍纵即逝的机会,冠脉造影显示前降支近端闭塞,迅速置入支架,手术仅用了20余分钟。

术后,黄先生被转移至CCU(冠心病重症监护室),在心内科医护人员的精心医治护理下,病情终于稳定,未再发作恶性心律失常,抢救终于获得成功。3月5日,黄先生恢复良好转至心内科普通病房,将于近日出院。
徐迎佳主任介绍,急性心肌梗死发生室颤心脏骤停,是内科最凶险危症,病死率极高。这个反复发作近60次的室颤病人在医学上非常罕见,对我们来说是一个很严厉的挑战。除颤仅是临时的抢救措施,尽早行介入手术开通闭塞血管,恢复心肌灌注是治疗关键。黄先生的抢救成功,离不开急诊团队的迅速反应和及时有效的诊疗,也得益于医院急救体系建设为急危重症患者提供了快速诊疗通道。在急诊、心内科、放射介入等医护团队的通力合作下,共同为黄先生迎来生命的奇迹。





